Could this bone marrow map redefine understandings of blood cancer?
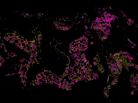
Researchers at the Walter and Eliza Hall Institute of Medical Research (WEHI) have developed what they say is the first detailed molecular map of human bone marrow, something that could reshape understandings of how incurable blood cancer grows and spreads. Using spatial technology, the team produced a molecular ‘Google map’ of the bone marrow by imaging more than 5000 genes within individual cells, which they say challenges established theories about the development and progression of myeloma — paving the way for developing more effective treatments for patients.
A type of blood cancer that affects plasma cells in the bone marrow, myeloma is often called ‘multiple myeloma’ as 90% of people have multiple bone lesions when they are diagnosed. More than 2500 Australians are diagnosed each year and, while existing treatments can slow its progress and manage symptoms, myeloma remains incurable. It has long been believed by scientists that myeloma cells shape the bone marrow in similar ways and that universal treatments could be developed to target those common features. Yet now, research has shown that each cancer cell can form their own unique microenvironment within the bone marrow.
“We found that each group of cancerous plasma cells creates its own distinct space, with different supporting cells and gene activity,” said co-first author Dr Raymond Yip, a postdoctoral researcher in the Hawkins Lab at WEHI. “It’s like discovering that each tumour has its own postcode
“Our findings challenge current thinking on myeloma and could redefine how we understand and treat the disease,” Yip added. “Ultimately, this research lays the foundation for more effective treatment strategies for myeloma and potentially for other blood cancers.”
Bone marrow samples from healthy individuals, patients with early signs of disease, and those with newly diagnosed multiple myeloma were analysed as part of the study. Its findings — published in Blood in July — showing that malignant plasma cells are not always evenly spread, but instead can cluster in spatially restricted areas — each with its own biological signature. “We hope this work is the first step in developing more tailored strategies and new ways to detect, monitor and treat myeloma,” said Dr Jeremy Er, clinician PhD researcher and study co-first author.

Spatial technologies allowed the researchers to see what each cell is doing and precisely where it is located within tissue; technologies that, WEHI said, are transforming how scientists study complex diseases like cancer, by revealing how cells behave in their natural environment. By combining spatial transcriptomics with an optimised biobanking method for bone marrow samples, WEHI researchers — along with collaborators from the Peter MacCallum Cancer Centre and The Royal Melbourne Hospital — were able to profile 5001 genes at single-cell resolution and analyse the full cellular landscape in unprecedented detail.
National Pain Alliance launched to advocate for chronic pain
To advocate for chronic pain to be formally recognised within national health data and policy...
Can seasonal influenza vaccination prime the immune system for future strains?
A study analysing 30-year-old influenza-vaccinated blood samples is the first, researchers say,...
'No evidence' of medicinal cannabis effectiveness treating anxiety, depression or PTSD
Australian researchers have urged greater regulation for the prescribing of medicinal cannabis...
